



We recognize that every patient is unique, and we tailor our treatment plans to address individual needs. Our team will conduct a comprehensive assessment, considering your oral health, bone structure, and aesthetic goals, to create a customized treatment plan that suits you best.


Utilizing advanced teeth whitening techniques, we effectively remove stains and discoloration from the teeth, revealing a brighter and whiter smile.


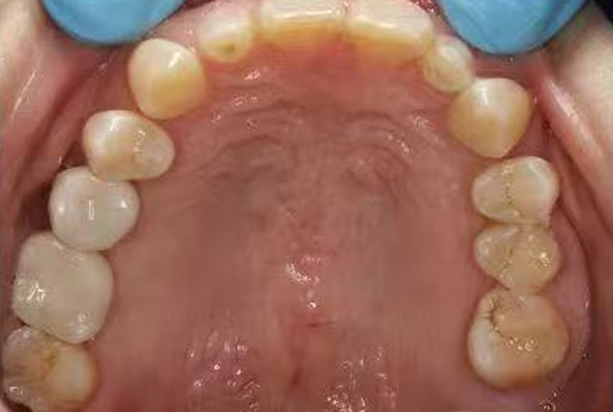
When you choose our dental filling team at Wow Dental, you can trust that you are receiving the highest standard of care. We are passionate about helping you achieve a healthy and beautiful smile, and we take pride in our precise and meticulous approach to dental fillings.


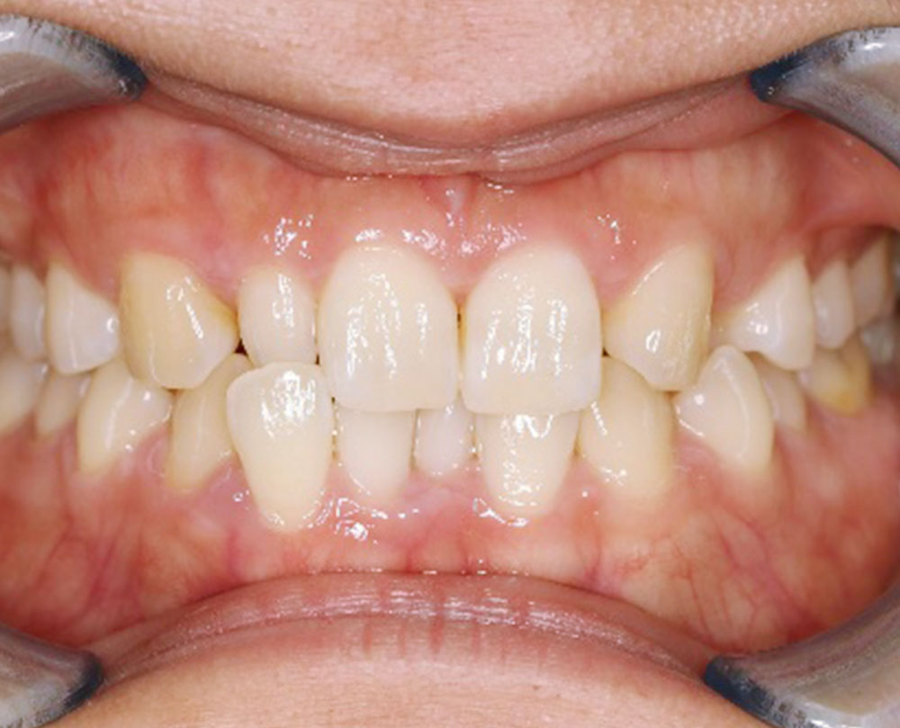
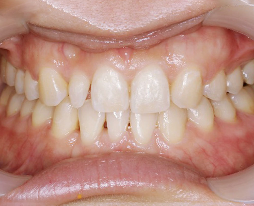
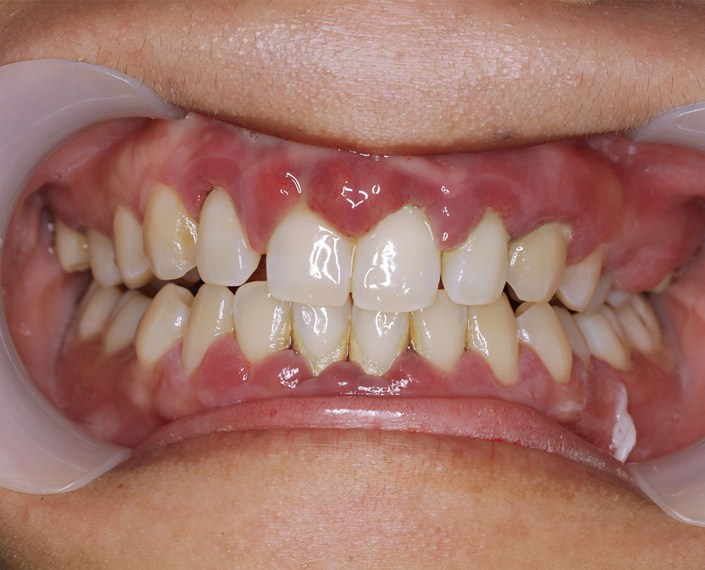
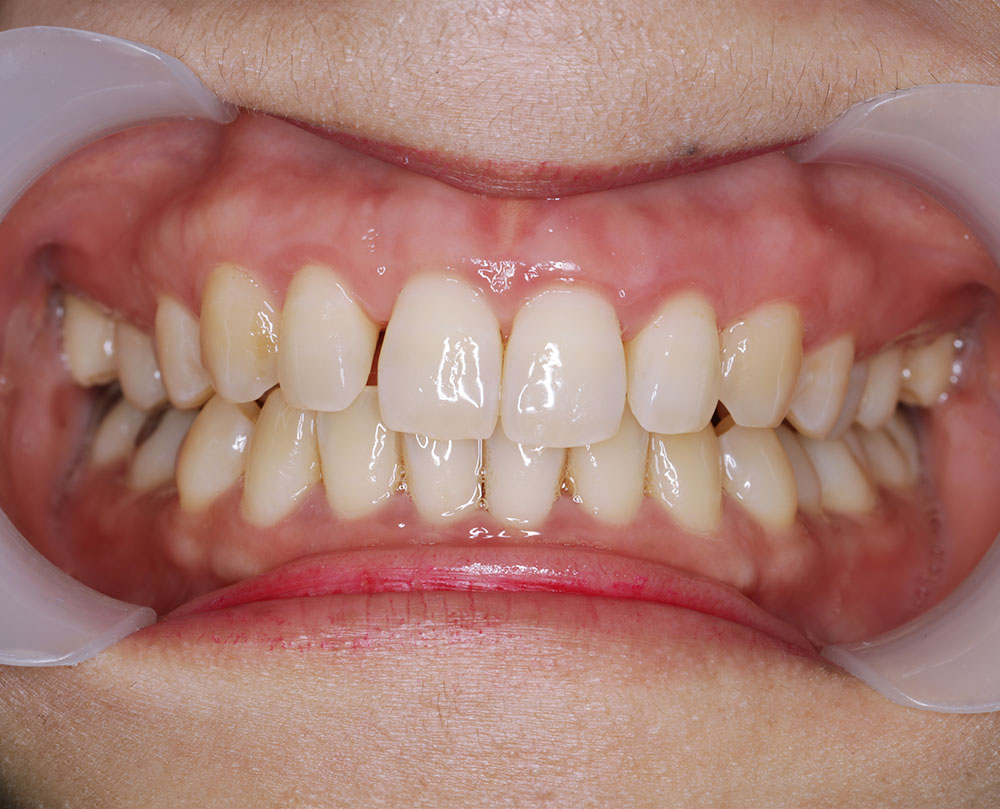
Through orthodontic treatment, not only can the appearance of the teeth be improved, but it can also enhance oral health and chewing function. At Wow Dental, we offer a wide range of orthodontic options, including traditional braces and Invisalign clear aligners, to cater to the unique needs and preferences of our patients.


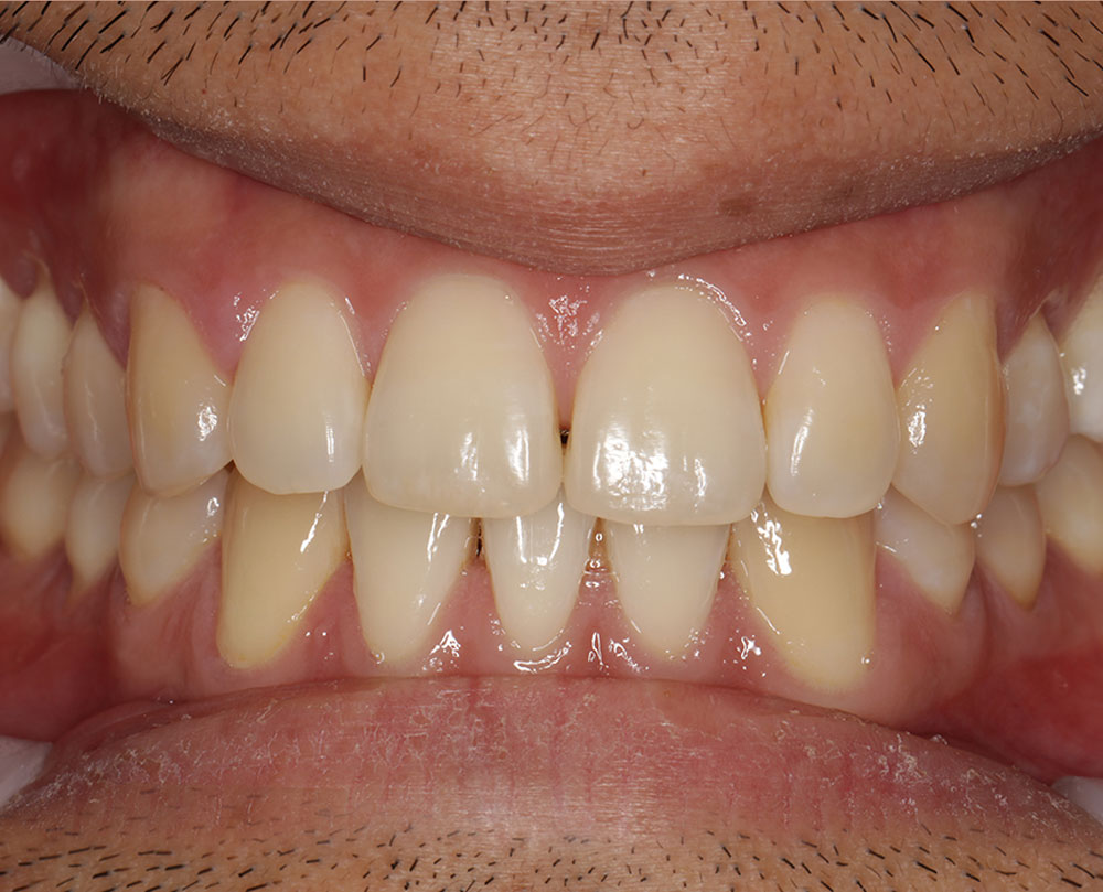
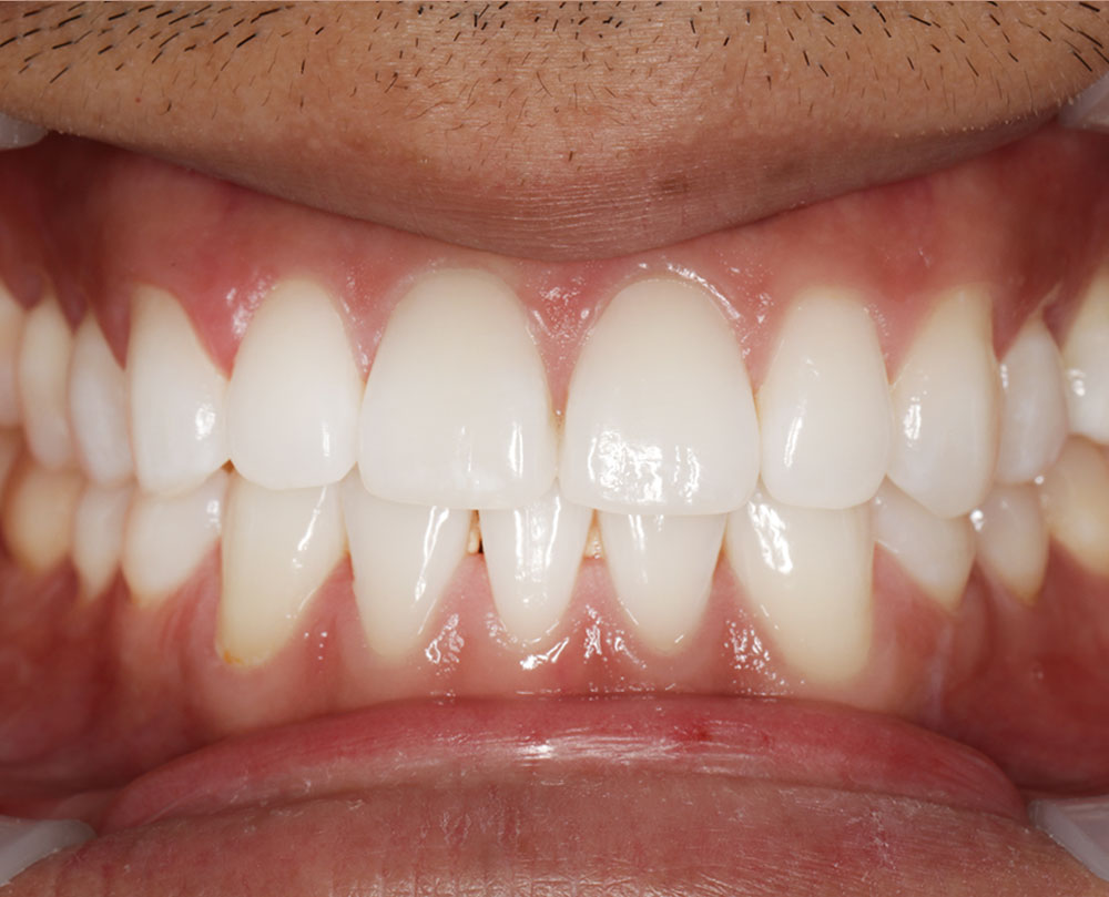
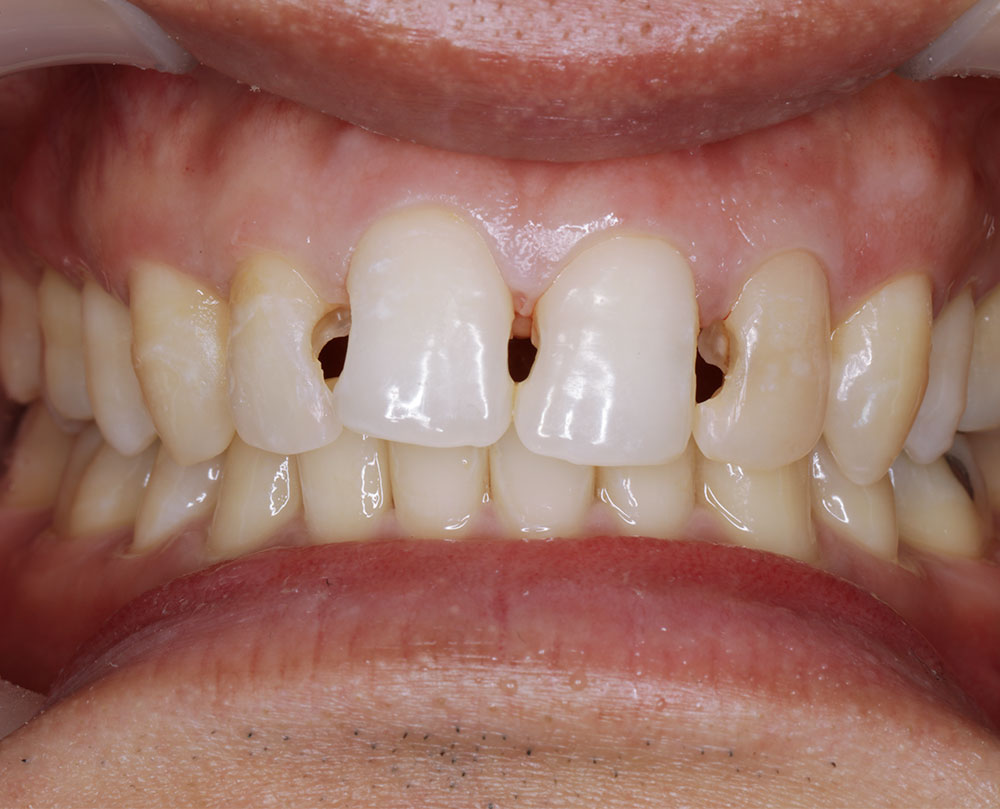
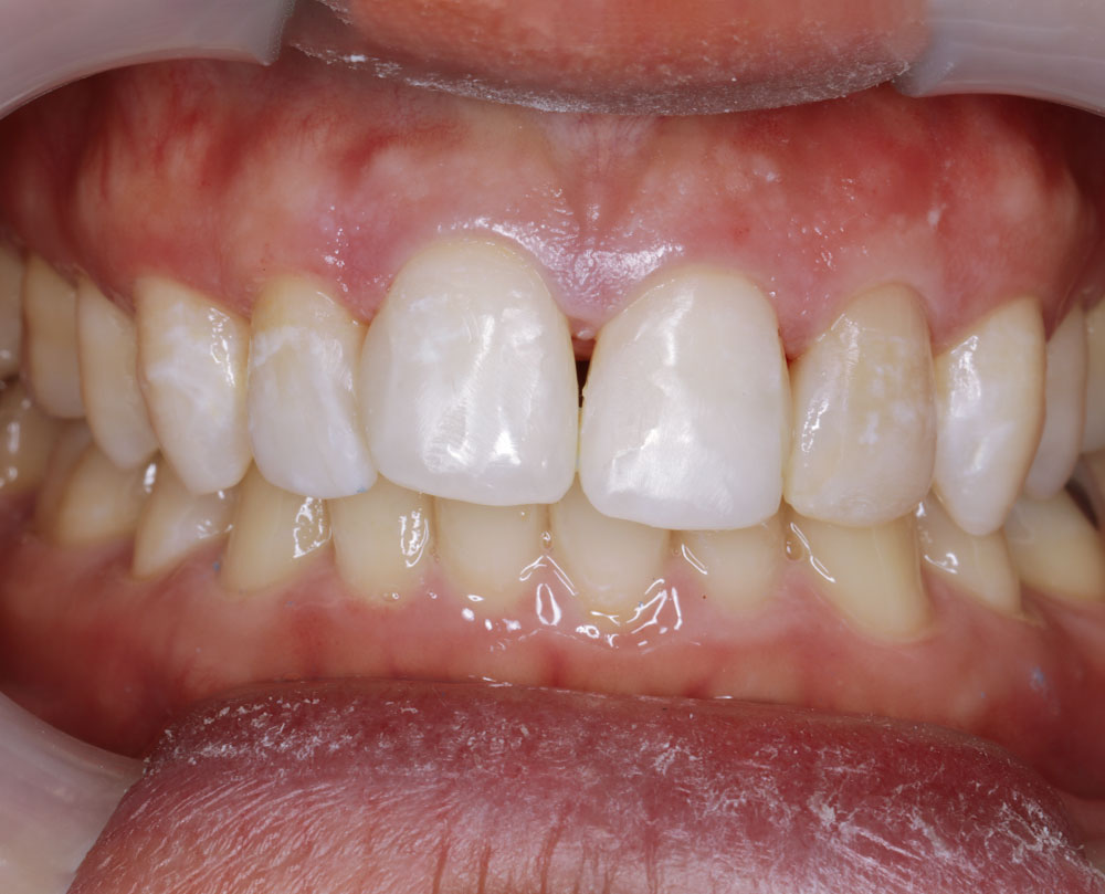
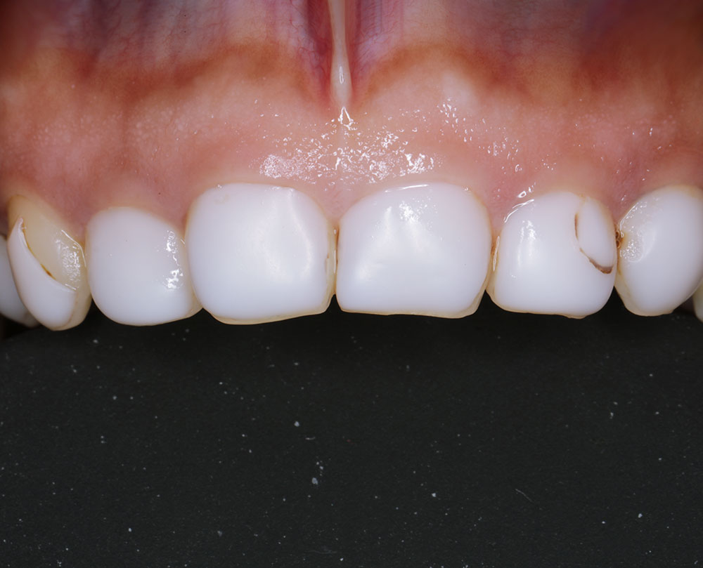
Whether you’re seeking to correct dental imperfections, enhance your smile, or achieve a complete smile makeover, our dedicated veneer team is here to help. Experience the expertise and artistry of our team at Wow Dental and let us transform your smile with beautiful veneers.
Schedule a consultation with our veneer specialists today and take the first step towards achieving the smile of your dreams.


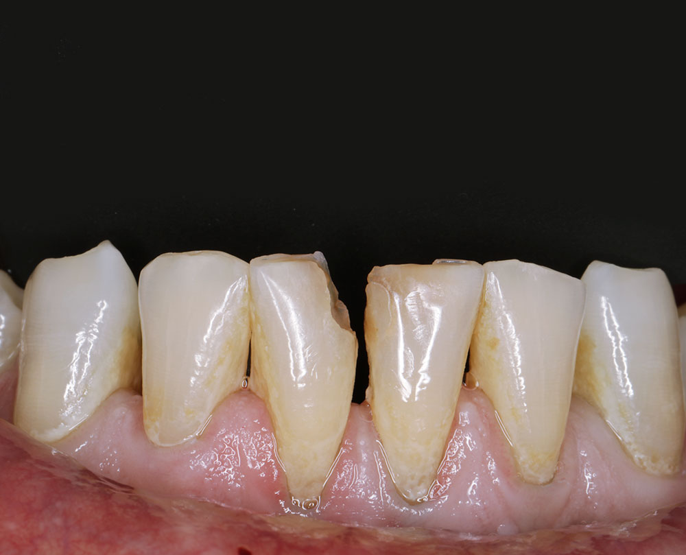
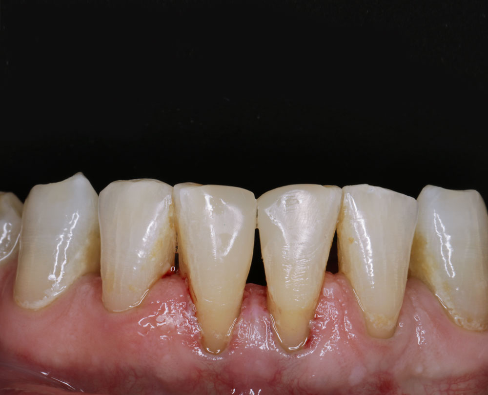
With meticulous attention to detail, our dental experts meticulously remove plaque, tartar, and bacteria that have accumulated below the gumline and along the tooth roots. This deep cleaning process not only eliminates harmful substances but also helps to reduce inflammation, prevent further gum deterioration, and promote the healing of gum tissues.


Our experienced dental team utilizes advanced techniques and materials to restore damaged teeth to their natural beauty and functionality.

Discover the power of a healthy smile with Wow Dental. From preventative care to cosmetic treatments, we’re here to help you achieve the bright, confident smile you deserve.
Emergency Dental
Routine Exams
Dental Hygiene
Dental Fillings
Kids Dental Care
Implants
Root Canal Treatment
Dentures
Orthodontics
Invisalign
Traditional braces
Cosmetic Dentistry
Teeth Whitening
Veneers
Oral Surgery
Wisdom teeth removal
Full mouth reconstruction
Sleep Apnea
Pregnancy dental care
Sedation
At Wow Dental, we’re dedicated to providing top-quality dental care in a friendly and professional setting. From your regular check-ups to personalised cosmetic treatments, your comfort, safety, and confidence are always our priority.
To reflect this commitment, we’ve included some key information below about possible treatment risks, as well as how you can easily reach our team if you’d like to share feedback or raise any concerns.
Treatment Considerations
All dental procedures carry risks. The type and severity of these risks vary depending on the treatment and the individual. Potential risks, complications, and recovery timeframes will be explained by your treating practitioner before proceeding.
Treatment outcomes are not guaranteed and may vary from patient to patient.
If you have any concerns or feedback, we encourage you to contact us directly. We would always prefer the opportunity to support you personally and discuss your experience with our team.
Copyright © 2023 Ning’s Design All Right Reserved